SEOUL TOP PLANT
치아 성형
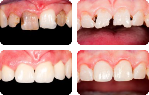
올세라믹 크라운의 특징
올세라믹 크라운은 보철물 전체가 도자기 재질로 만들어진 크라운으로, 자연치아와 구분이 어려울 정도의 자연스러움이 가장 큰 장점입니다.
자연 치아는 보통 잇몸과의 경계부위는 어둡고, 씹는 부위일수록 투명한데, 올세라믹 크라운은 이러한 섬세한 색상 차이를 표현하는데 최적화된 시술입니다.
이처럼 뛰어난 심미성을 갖고 있지만, 상대적으로 강도는 조금 약한 편이라 앞니 성형에 주로 사용합니다.
자연 치아는 보통 잇몸과의 경계부위는 어둡고, 씹는 부위일수록 투명한데, 올세라믹 크라운은 이러한 섬세한 색상 차이를 표현하는데 최적화된 시술입니다.
이처럼 뛰어난 심미성을 갖고 있지만, 상대적으로 강도는 조금 약한 편이라 앞니 성형에 주로 사용합니다.
-
CHECK 01 짧은 치료 기간
-
CHECK 02 자연스러움
-
CHECK 03 폭넓은 치아 성형
-
CHECK 04 젊은층이 선호
-
CHECK 05 파절 가능성
01
올세라믹 크라운이 필요한 경우
- 01 앞니가 돌출된 경우
- 02 앞니가 깨지거나 충치가 있는 경우
- 03 앞니가 약하게 변색된 경우
- 04 앞니가 고르지 못한 경우
- 05 앞니 사이에 공간이 있는 경우
02
올세라믹 크라운 시술
부작용 가능성 - 시술 후, 시리거나 통증 등의 증상이 나타날 수 있으며, 이 경우 담당 의료진과 상의 후 적절한 처치를 받으시길 바랍니다.
HOME






