치조골 이식/상악동 거상술
인공뼈의 이식 수술
임플란트 식립 후, 임플란트와 잇몸뼈가 단단하게 붙어야 수술이 성공했다고 할 수 있습니다.
따라서 임플란트 시술 전에, 첨단 CT장비를 이용하여 잇몸뼈 검사를 하게 되는데, 이 때 잇몸뼈의 상태가 좋지 못한 경우에는 인공뼈
이식 수술이 추가로 필요할 수 있습니다.
인공뼈는 가루 형태로 되어 있으며, 단단하게 굳는데 적어도 6개월 이상의 기간이 필요합니다.
이식해야 할 인공뼈의 양이 적은 경우에는 임플란트 수술과 동시에 진행하지만, 양이 많은 경우에는 인공뼈 이식을 먼저 진행하고
추후에 임플란트 수술을 하는 것이 안전합니다.
인공뼈 이식이 필요한 경우
-
CHECK 01 발치 한 지 오래되어
잇몸뼈가 부족한 경우 -
CHECK 02 장기간의 틀니 사용으로
잇몸뼈가 망가진 경우 -
CHECK 03 뼈의 두께가 얇거나
높이가 낮은 경우 -
CHECK 04 치아를 빼고 바로
임플란트를 심는 경우
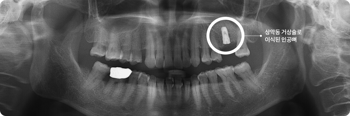
상악동 거상술
위턱 어금니의 잇몸뼈가 부족한 경우, 상악동 내부에 인공뼈 이식 수술을 하여 임플란트를 심게 됩니다.
이를 “상악동 거상술”이라 하는데, 임플란트 시술 중 가장 난이도가 높습니다.
서울탑플란트치과의 상악동 시술 과정은 다음과 같습니다.
상악동 거상술 시술 과정
-
STEP 01
임플란트 식립 전에
상악동에 작은
구멍을 뚫습니다. -
STEP 02
작은 구멍에 기구를
집어 넣고, 상악동 점막을
위로 들어 올립니다. -
STEP 03
상악동 빈 공간 사이로
인공뼈를 이식하고,
임플란트를 식립합니다. -
STEP 04
6개월 후, 임플란트와 잇몸뼈가
단단하게 붙은 것을 확인하여
치아 모양의 보철물을 완성합니다.
부작용 가능성 - 시술 후, 부종 / 통증 / 감각저하 등의 증상이 나타날 수 있으며, 이 경우 담당 의료진과 상의 후 적절한 처치를 받으시길 바랍니다.
HOME
