SEOUL TOP PLANT
네비게이션 임플란트
-
Navigation implant
-
네비게이션 임플란트는,
3차원 컴퓨터 입체 영상을 통해 잇몸뼈 내부까지
정확하게 진단합니다.컴퓨터 가상 수술을 통해 결정된 최적의 임플란트 위치로 가이드
해주는 수술 유도 장치인 원가이드를 제작합니다.원가이드를 장착하여 정확한 위치로 빠르고 안전하게
임플란트 수술을 합니다.
이런 분에게 추천합니다.
-
01
아프지 않아요!
수술 통증에 대한
두려움이 많으신 분 -
02
빠른 수술!
적은 내원 횟수!바쁜 사회 생활로 인해
시간이 부족하신 분 -
03
최소 절개 수술로
출혈 최소! 빠른 회복!당뇨, 고혈압 등의
전신질환 환자 -
04
안전하고 정확한 수술로
높은 성공률!높은 연령 및
신체적으로 약하신 분
네비게이션 임플란트 진행 과정
-
STEP 01
CT 촬영 및 진단
- 3차원 CT 촬영
- 뼈, 신경 분석 및 진단 -
STEP 02
컴퓨터 가상 수술
- 컴퓨터 가상 수술로 식립 개수, 위치결정
- 가상 수술 계획대로 가이드 제작 -
STEP 03
네비게이션 수술
- 원가이드 구강 장착
- 정확하고 안전한 수술
네비게이션 수술의 장점
-
01
100% 3D CT 촬영하여,
뼛속 신경까지 정확하게 진단 후 수술합니다. -
-
일반 수술
2D/육안 진단
-
네비게이션 수술
3D/컴퓨터 진단
-
-
02
컴퓨터로 미리 가상 수술하여
안전하고 오래가는 임플란트 수술이 됩니다. -
-
일반 수술
육안 판단 수술
-
네비게이션 수술
컴퓨터 가상 수술을 통한 식립 위치 및 깊이 결정
-
-
03
잇몸 절개를 최소화 해서,
통증이 없고, 빠른 수술이 가능합니다. -
-
일반 수술
잇몸 완전 절개 수술 방식
-
네비게이션 수술
잇몸 무절개 및 간편한 수술로 시간 단축
-
-
04
수술 당일 바로
일상 생활이 가능합니다. -
-
일반 수술
수술 당일 임시 보철 치료 불가
-
네비게이션 수술
수술 당일 티 안나는 보철 치료 가능
-
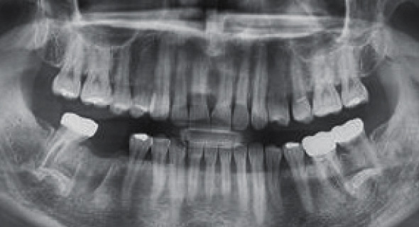
네비게이션 수술 사례
부작용 가능성 - 시술 후, 부종 / 통증 / 감각저하 등의 증상이 나타날 수 있으며, 이 경우 담당 의료진과 상의 후 적절한 처치를 받으시길 바랍니다.
HOME
