SEOUL TOP PLANT

치료전후사진

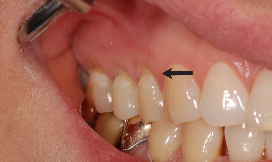
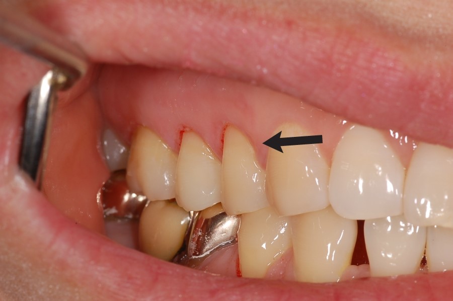
치경부 마모증

서울탑플란트치과 2021-10-13 조회수 아이콘 32

Before
After
Before
After

치아의 치경부(잇몸과 닿아있는 부위)가 칫솔 등에 의해 마모된 경우 치료한 사례입니다.

등록된 댓글이 없습니다.
패스워드
패스워드
QUICK
TOP