SEOUL TOP PLANT

치료전후사진

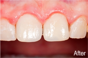
앞니 충치 치료

서울탑플란트치과 2021-10-13 조회수 아이콘 34

Before
After
Before
After

앞니가 심하게 썪은 경우 충치를 제거하고 치아를 보호하기 위해 크라운 치료를 해야 합니다.

등록된 댓글이 없습니다.
패스워드
패스워드
QUICK
TOP